Brain Health for Dogs: Common Diseases & Treatment Options

Dog resting comfortably on a rug beside a couch in a calm home environment

A precise diagnosis helps protect what matters most: peaceful moments, familiar routines, and time together at home.

When a dog’s behavior changes, like pacing at night, walking in circles, seeming confused, losing balance, or having a seizure, it’s frightening and often unexpected. Many families assume these are simply signs of aging, but neurologic symptoms are medical, and in many cases, they are treatable.

The brain and nervous system control movement, balance, memory, and personality. Because different conditions can look similar at home, the most important step is reaching a clear diagnosis. With today’s advanced imaging and treatment options, many dogs with neurologic disease can live comfortably and safely for months to years after diagnosis.

Why Brain Health Matters at Every Age

Brain health influences how a dog moves, learns, interacts, and experiences the world. From early development through the senior years, the nervous system supports balance, coordination, awareness, and normal daily routines.

In younger dogs, neurologic disease may appear as seizures or developmental changes. In adults, it can show up as weakness, pain, or difficulty with normal activity. In senior dogs, it’s often mistaken for slowing down or cognitive decline.

Protecting neurologic function helps preserve:

  • Safe, coordinated movement

  • Normal behavior and interaction

  • Awareness of surroundings

  • Confidence and independence

When problems are recognized early, there are more options to manage symptoms and maintain quality of life.

What Causes Neurologic Symptoms in Dogs?

Neurologic symptoms in dogs are most commonly caused by structural brain disease (such as tumors or hydrocephalus), inflammatory conditions like encephalitis, seizure disorders, vestibular disease, or age-related cognitive dysfunction. Because these conditions affect the same parts of the nervous system, the outward signs often look similar, making an accurate diagnosis essential for choosing the right treatment.

Signs of Neurologic Disease in Dogs

Neurologic symptoms can look very different from one dog to another. Some appear suddenly, while others develop gradually. Many are subtle at first.

Common signs include:

  • Seizures or sudden collapse

  • Head tilt

  • Walking in circles

  • Wobbling or unsteady gait

  • Dragging a paw or scuffing nails

  • Weakness in one or more limbs

  • Sudden behavior or personality changes

  • Disorientation or getting “stuck” in corners

  • Pacing or restlessness, especially at night

  • Abnormal eye movements

  • Difficulty standing or rising

Any of these changes, especially when they appear suddenly or progress, are a reason to involve your veterinarian. What may look like aging or a temporary issue is often a sign of a condition affecting the brain, spinal cord, or nerves.

Common Brain and Neurologic Conditions in Dogs

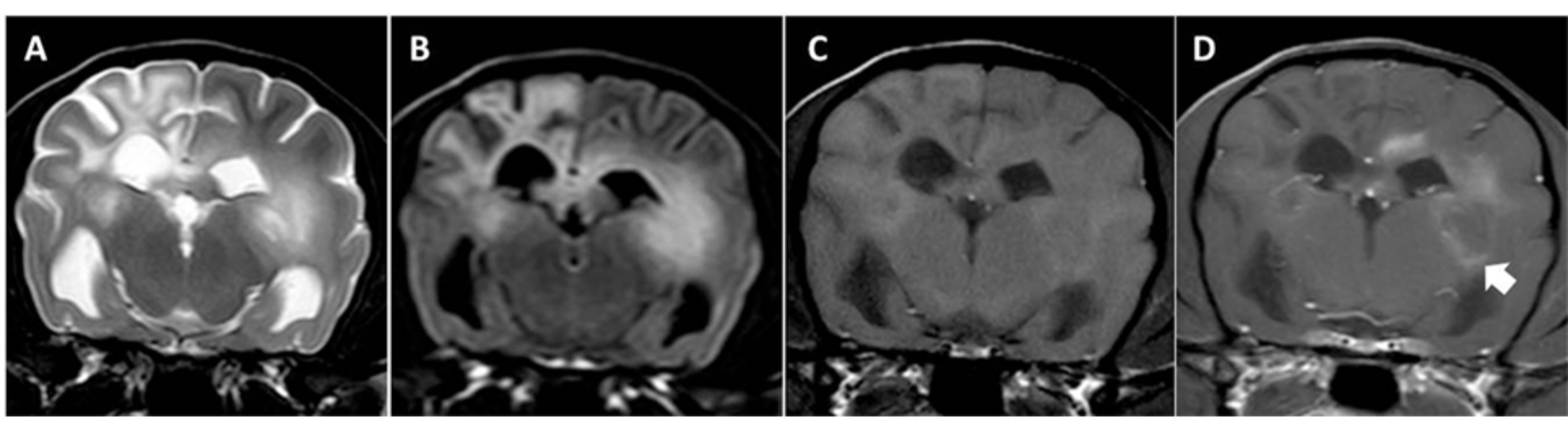
Inflammatory brain disease can look frightening from the outside, but advanced imaging gives a clear diagnosis and opens the door to targeted, highly effective treatment. Source: Encephalitis – Veterinary Neurology

Canine Cognitive Dysfunction

Affects memory, sleep patterns, awareness, and learned behaviors. Supportive therapies can significantly improve daily life.

Brain Tumors

Often cause seizures, behavior changes, vision problems, circling, or difficulty walking. Many can be managed for extended periods with the right treatment plan.

Encephalitis (Inflammatory Brain Disease)

Inflammation within the brain, frequently immune-mediated. Early diagnosis is especially important because many cases respond well to medical therapy.

Idiopathic Epilepsy

One of the most common causes of recurrent seizures. Most affected dogs are normal between episodes and live long, active lives with medication.

Vestibular Disease

Causes head tilt, loss of balance, and abnormal eye movements. Because the signs can originate from either the inner ear or the brain, diagnosis is key.

Hydrocephalus

Accumulation of cerebrospinal fluid that increases pressure on brain tissue and affects behavior, vision, and learning.

Because these conditions can produce many of the same outward signs, advanced imaging is often the most effective way to determine exactly what is happening and how best to treat it.

Seizures, Balance Problems, or Behavior Changes: Why Diagnosis Matters

The most important question is not just how to treat neurologic symptoms, it’s what is causing them. While radiographs (X-rays) are excellent for evaluating bone, they do not show the brain or spinal cord. This means serious neurologic disease can still be present even when X-rays look normal.

And without a clear diagnosis, treatment often becomes trial and error. That can delay the right therapy and allow disease to progress. Advanced imaging changes that.

When Does a Dog Need an MRI of the Brain?

A dog may need an MRI of the brain when seizures begin, behavior changes are unexplained, balance problems develop, or neurologic signs persist despite normal radiographs. MRI allows veterinarians to see tumors, inflammation, structural abnormalities, and vascular events, providing the precise diagnosis needed to guide the most effective treatment plan.

How Advanced Imaging Helps Your Veterinarian Make a Diagnosis

MRI for Brain Disease

MRI is the most sensitive and detailed imaging method for evaluating the brain and is considered the gold standard for diagnosing neurologic disease in dogs. It provides exceptional soft-tissue contrast, allowing veterinarians to see changes that cannot be detected with any other modality.

MRI is best for identifying:

  • Brain tumors, including their exact size and location

  • Inflammation such as encephalitis or meningitis

  • Structural abnormalities affecting normal brain development or function

  • Hemorrhage and vascular events in the brain

  • Edema (swelling) and surrounding tissue changes

This level of detail allows for a precise diagnosis, accurate prognosis, and a treatment plan tailored to the specific disease.

CT for Brain Disease 

CT scans use X-rays to create highly detailed images of bone and are faster to perform than MRI. While CT does not provide the same soft-tissue detail as MRI, it plays an important role in certain neurologic situations.

CT is commonly used for:

  • Acute bleeding or head trauma, when rapid imaging is critical

  • Skull and middle ear disease that may affect neurologic function

  • Detecting mineralization or bone involvement associated with masses

  • Situations where MRI is not available or not recommended

In many cases, CT serves as a complementary tool or the best initial imaging choice in emergency settings.

Treatment Options for Neurologic Disease in Dogs

Small dog using a rear mobility cart outdoors showing assisted movement and quality of life

With the right diagnosis and support, many dogs with neurologic disease stay curious, mobile, and fully engaged in life.

Treatment for neurologic disease depends on the underlying cause, the location within the nervous system, and how advanced the condition is at the time of diagnosis. Many dogs benefit from a combination of therapies designed to control symptoms, slow disease progression, and maintain daily function and comfort.

Medical Management

For many neurologic conditions, medication is the first and most effective step.Medical therapy may be used to:

  • Control seizures

  • Reduce inflammation and immune-mediated disease

  • Manage pain and nerve-related discomfort

  • Decrease brain swelling and fluid accumulation

  • Support cognitive function in aging dogs

With the right plan and monitoring, many dogs maintain a good quality of life for long periods.

Surgery

Surgery may be recommended when a structural problem is identified and can be safely addressed.This can include:

  • Removal or debulking of certain brain tumors

  • Correction of congenital abnormalities in select cases

  • Procedures to relieve pressure within the skull

Surgical planning is guided by advanced imaging, which allows for precise localization of the disease and a clear understanding of surrounding structures.

Radiation Therapy

Radiation therapy is commonly used for brain tumors and other localized intracranial disease that cannot be completely removed surgically. Its goals are to:

  • Slow tumor growth

  • Reduce neurologic symptoms

  • Extend both survival time and quality of life

Many dogs tolerate radiation therapy very well and continue their normal routines during treatment.

Rehabilitation & Supportive Care

Rehabilitation is a key part of long-term neurologic management and recovery.

A structured plan can help:

  • Improve strength and coordination

  • Restore balance and confidence when walking

  • Maintain muscle mass

  • Prevent secondary injury from weakness or instability

When to Talk to Your Veterinarian About Advanced Imaging

Senior woman gently holding her golden retriever and checking his face in a bright kitchen

Growing older together means noticing the small changes first, and making sure comfort, connection, and care are always part of the journey.

Advanced imaging is often the next step when neurologic symptoms don’t have a clear explanation or when a dog isn’t improving with initial treatment. Rather than continuing trial-and-error therapies, imaging provides the answers needed to move forward with confidence.

Your veterinarian may recommend advanced imaging if your dog:

  • Has a new or unexplained seizure

  • Develops sudden behavior changes

  • Shows loss of balance or a persistent head tilt

  • Has weakness that does not improve

  • Has neurologic signs but normal initial tests

  • Is being evaluated for surgery or radiation

  • Has symptoms that are progressing

Advanced imaging does not automatically mean surgery. In many cases, it provides the clarity needed to confidently choose medical management and supportive care.

If your dog’s symptoms don’t yet have a clear cause, this is the time to start the conversation with your veterinarian.

Sage Veterinary Imaging: Supporting Quality of Life for Dogs with Neurologic Disease

A neurologic diagnosis does not take away a dog’s ability to experience joy, connection, and daily routine. With the right treatment plan, thoughtful home adjustments, and ongoing monitoring, many dogs continue to enjoy their normal activities and time with their families.

The goal is not just longer time together. It’s comfortable, engaged, and meaningful time. And with an accurate diagnosis guiding care, that goal is often very achievable. 

Contact us today if your pet is showing neurologic symptoms or to begin the pre-screening process for advanced imaging.

Previous
Previous

The Strange Neurologic Signs Every Dachshund Owner Should Know

Next
Next

Care for Senior Dogs: Joint Health & Treatment Options